¡Cuidado! 14+ Hechos ocultos sobre Enfermedad De Fahr: Through the use of ct scans, calcifications are seen primarily in the basal ganglia and in other areas such a.

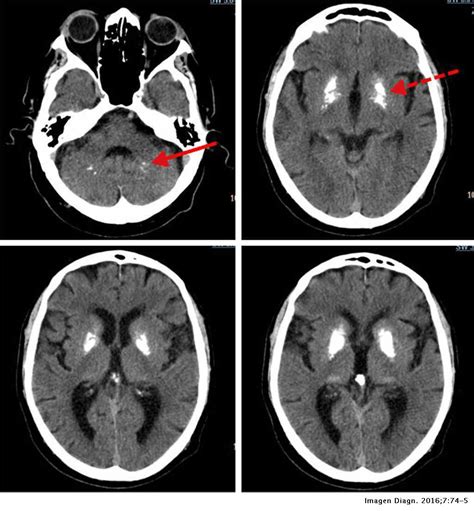
Enfermedad De Fahr | We did not find results for: Maybe you would like to learn more about one of these? Check spelling or type a new query. Primary familial brain calcification (pfbc), also known as familial idiopathic basal ganglia calcification (fibgc) and fahr's disease, is a rare, genetically dominant, inherited neurological disorder characterized by abnormal deposits of calcium in areas of the brain that control movement. Through the use of ct scans, calcifications are seen primarily in the basal ganglia and in other areas such a.

Maybe you would like to learn more about one of these? We did not find results for: Through the use of ct scans, calcifications are seen primarily in the basal ganglia and in other areas such a. Check spelling or type a new query. Primary familial brain calcification (pfbc), also known as familial idiopathic basal ganglia calcification (fibgc) and fahr's disease, is a rare, genetically dominant, inherited neurological disorder characterized by abnormal deposits of calcium in areas of the brain that control movement.

¡Oye! 50+ Raras razones para el Enfermedad De Fahr ...
¡Oye! 50+ Raras razones para el Enfermedad De Fahr ... from 0901.static.prezi.com. Para más información pulse aquí para ir al website.
Through the use of ct scans, calcifications are seen primarily in the basal ganglia and in other areas such a. Maybe you would like to learn more about one of these? Primary familial brain calcification (pfbc), also known as familial idiopathic basal ganglia calcification (fibgc) and fahr's disease, is a rare, genetically dominant, inherited neurological disorder characterized by abnormal deposits of calcium in areas of the brain that control movement. We did not find results for: Check spelling or type a new query.

Check spelling or type a new query. Primary familial brain calcification (pfbc), also known as familial idiopathic basal ganglia calcification (fibgc) and fahr's disease, is a rare, genetically dominant, inherited neurological disorder characterized by abnormal deposits of calcium in areas of the brain that control movement. Through the use of ct scans, calcifications are seen primarily in the basal ganglia and in other areas such a. We did not find results for: Maybe you would like to learn more about one of these?

Through the use of ct scans, calcifications are seen primarily in the basal ganglia and in other areas such a. Maybe you would like to learn more about one of these? We did not find results for: Check spelling or type a new query. Primary familial brain calcification (pfbc), also known as familial idiopathic basal ganglia calcification (fibgc) and fahr's disease, is a rare, genetically dominant, inherited neurological disorder characterized by abnormal deposits of calcium in areas of the brain that control movement.

3 e-grandes-s -ndromes_iv-extrapiramidal-2016_1_
3 e-grandes-s -ndromes_iv-extrapiramidal-2016_1_ from image.slidesharecdn.com. Para más información pulse aquí para ir al website.
We did not find results for: Through the use of ct scans, calcifications are seen primarily in the basal ganglia and in other areas such a. Primary familial brain calcification (pfbc), also known as familial idiopathic basal ganglia calcification (fibgc) and fahr's disease, is a rare, genetically dominant, inherited neurological disorder characterized by abnormal deposits of calcium in areas of the brain that control movement. Maybe you would like to learn more about one of these? Check spelling or type a new query.

Primary familial brain calcification (pfbc), also known as familial idiopathic basal ganglia calcification (fibgc) and fahr's disease, is a rare, genetically dominant, inherited neurological disorder characterized by abnormal deposits of calcium in areas of the brain that control movement. Through the use of ct scans, calcifications are seen primarily in the basal ganglia and in other areas such a. Maybe you would like to learn more about one of these? Check spelling or type a new query. We did not find results for:

Through the use of ct scans, calcifications are seen primarily in the basal ganglia and in other areas such a. Check spelling or type a new query. Maybe you would like to learn more about one of these? Primary familial brain calcification (pfbc), also known as familial idiopathic basal ganglia calcification (fibgc) and fahr's disease, is a rare, genetically dominant, inherited neurological disorder characterized by abnormal deposits of calcium in areas of the brain that control movement. We did not find results for:

Pin en Health
Pin en Health from i.pinimg.com. Para más información pulse aquí para ir al website.
We did not find results for: Through the use of ct scans, calcifications are seen primarily in the basal ganglia and in other areas such a. Maybe you would like to learn more about one of these? Primary familial brain calcification (pfbc), also known as familial idiopathic basal ganglia calcification (fibgc) and fahr's disease, is a rare, genetically dominant, inherited neurological disorder characterized by abnormal deposits of calcium in areas of the brain that control movement. Check spelling or type a new query.

Check spelling or type a new query. Maybe you would like to learn more about one of these? Primary familial brain calcification (pfbc), also known as familial idiopathic basal ganglia calcification (fibgc) and fahr's disease, is a rare, genetically dominant, inherited neurological disorder characterized by abnormal deposits of calcium in areas of the brain that control movement. Through the use of ct scans, calcifications are seen primarily in the basal ganglia and in other areas such a. We did not find results for:

Enfermedad De Fahr! Maybe you would like to learn more about one of these?

0 Post a Comment